BOOK ONLINE NOW
BOOK ONLINE NOW
TEL: 028 7034 2934GET IN TOUCH TO BOOK AN APPOINTMENT
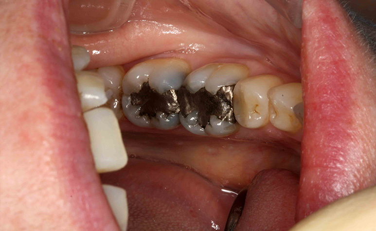
Many people still have a mouth full of silver (amalgam) fillings which are strong and very safe. Although many years of testing have never proved a risk, some people are concerned about the mercury in Amalgam fillings.
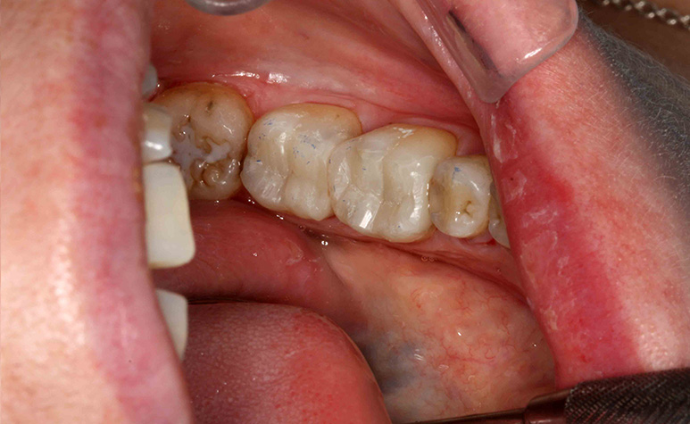
If you have concerns, it may be worth considering replacing your old silver fillings with new white ones. They look amazing and will add that little extra shine to your smile.
It can vary, but most white fillings are mainly made of glass particles, synthetic resin and a setting ingredient. Your dentist will be able to give you more information about the material they use.
Below you’ll find some of the available choices:
Composite fillings
Composite fillings are strong, but may not be as hard wearing as ordinary amalgam fillings. They are tooth coloured, made from powdered glass, quartz, silica or other ceramic particles added to a resin base. Your dentist will choose a shade to match your own teeth, and then, after the tooth is prepared, the filling is bonded onto the area with an adhesive and set with an ultraviolet light. Another advantage of a white filling is your dentist may have to remove less of the tooth.
Glass ionomer
Glass ionomer fillings form a chemical bond with the tooth. They may also release fluoride, which helps prevent further tooth decay.
However, this type of filling is fairly weak and is usually used only on baby teeth and non-biting surfaces, such as around the neck of the tooth. Little preparation is needed as the filling bonds directly to the tooth.
Porcelain inlays
Porcelain is hard wearing and long lasting, and can be coloured to match your own teeth.
Your dentist will design and prepare your perfectly fitted porcelain inlays. However, because the inlays will be made in a laboratory, it is usually more expensive than the other fillings and it will also require two visits to our practice to have them put in place.
Your dentist will discuss which type of filling best suits your treatment.
Most people have fillings of one sort or another in their mouths. Many people don’t want silver fillings that show when they laugh or smile because they are more conscious about the way they look. White fillings, however, are more natural looking and succesfully do the job they’re meant to do.
White fillings have always been considered to last for less time than silver amalgam fillings. But there are now new materials, almost as good as silver amalgam, which are proving to be very successful. How long a white filling lasts can depend a lot on where it is in your mouth and how heavily your teeth come together when you bite. Your dentist can tell you about how long your fillings should last.
It is usually best to change fillings only when your dentist decides that an old filling needs replacing. When this happens you can ask to have it replaced with a tooth-coloured filling. Having your old amalgam filling removed is safe and we take every precaution to prevent any contamination of the glues to maximise the lifespan of your new filling.
Waterside Dental
7 Waterside
Coleraine
BT51 3DP
E: info@watersidedentalsurgery.com
Monday - Thursday
8:30am - 5:00pm
Friday
7:45am - 1:00pm
Closed for lunch 1:00pm to 2:00pm