BOOK ONLINE NOW
BOOK ONLINE NOW
TEL: 028 7034 2934
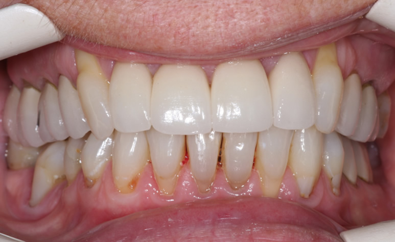
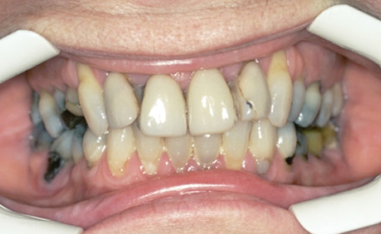
A crown is a full tooth cover restoration that is placed over a cracked, broken, root filled or a heavily filled tooth to protect it against fracture. Some people refer to dental crowns as caps.
Dental crowns are similar in shape and shade to dental veneers except crowns cover all the surfaces of a tooth whereas veneers only cover the visible outside surface of the tooth.
If a large part of a tooth has fractured, a dental crown can protect the remaining part of the tooth from further fracturing.
If a patient grinds their teeth and his/her teeth have chipped and fractured, dental crowns offer protection against further damage.
During a root canal treatment, a large portion of the tooth is removed and the remaining tissue is at risk of fracture and discolouring.
A crown can increase the success rate of a root canal treated tooth and protect the structure of the tooth and increase its longevity and aesthetics.
If a significant part of a tooth is lost to dental decay and there is a risk that if a filling is used to restore the tooth, the filling could come out or fracture. Crowns are much stronger than fillings and better able to protect against tooth fracture.
For cosmetic purposes, people who have large mismatched fillings on their front teeth may opt to have crowns to improve their smile.
All Ceramic Crown
Cosmetically these crowns look the best and are usually applied to the front teeth. These crowns have no grey metal inside them, so if in time the gum recedes, there will be no grey metal margin showing around the crown.
Strength wise, depending on the type of the crown, most of the ceramic crowns are as strong as conventional crowns. An example of this would be Zirconium containing crowns that have a tooth coloured Zirconium core with porcelain on top.
Metal Ceramic Crown
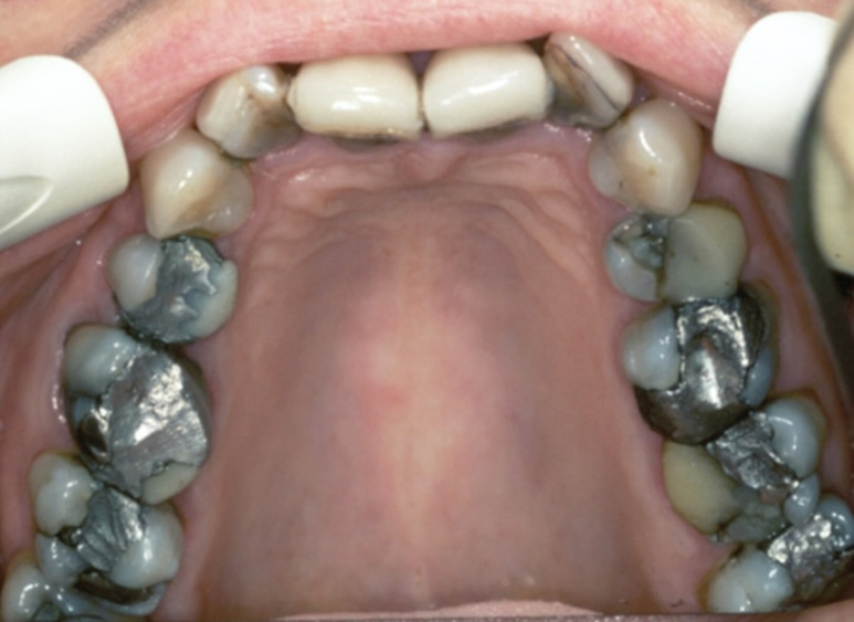
Metal Ceramic crowns have a metal core inside and porcelain bonded to their outside. The core inside can be made from precious, semi-precious or non-precious metals for strength.
However, the porcelain bonded to the metal cores is not very strong and from time to time can fracture. Metal Ceramic crowns are normally used on the back teeth, although some dentists use them for front teeth as well. Metal ceramic crowns are not as aesthetically pleasing as all ceramic crowns but they are much stronger.
All Zirconium Crowns
These crowns are tooth coloured and are usually used for back teeth. Zirconium crowns have a porcelain veneer and are more aesthetic than metal ceramic crowns. These crowns need minimal tooth reduction and are less damaging as less tooth tissue is removed for their construction. All Zirconium crowns are ideal for situations where gold crowns historically have been the best option.
Gold Crowns
These are the strongest crowns available but are poor from an aesthetic point of view. They are usually used for back teeth, especially in people who suffer from grinding and clenching habits. Gold crowns can be made very thin and as such, need minimal tooth reduction and are less destructive of tissue compared to metal ceramic and all ceramic crowns.
Your dentist will discuss every step of your treatment with you.
Once you have had a consultation with your dentist and discussed all the treatment options, they will prepare your tooth for crowning.
First, they will clean the tooth, removing any decay and reshaping it using a burr (a special dental drill for shaping teeth) under local anaesthesia.
The shape of the prepared tooth is usually tapered to allow the crown to sit comfortably over the top of it.
Once the tooth is prepared, an impression (mould) of your teeth will be taken using a special “dental putty”. This impression is sent to a dental laboratory, which will use the impression of the prepared tooth as a guide to fabricate the new crown to fit perfectly.
It usually takes between two to three weeks for a laboratory technician to custom-fabricate your new crown. During this time, your dentist will fit you with a temporary crown to cover and protect your prepared tooth.
On your second visit, your dentist will remove the temporary crown and roughen the outer surface of your prepared tooth with a special etching acid to give the dental cement a good surface to bond to.
Your dentist will sit the crown over your tooth to see if it fits with your smile correctly and is the right colour and shape.
Once you are both happy with the restoration and how it looks, your dentist will cement the crown firmly into place.
Ready to book your appointment?
Dental crowns are restorations that protect damaged, cracked or broken down teeth. A crown strengthens your existing, damaged tooth so as to preserve its functionality. Dental crowns are also commonly known as caps (because a crown sits over your existing tooth, covering the entire outer surface).
Crowns should not be the first choice to improve the aesthetics of your teeth, because a dentist needs to grind a significant portion of the original tooth away. Less invasive alternatives include veneers or dental bonding. Crowns are required when the strength of the tooth supporting the restoration is compromised.
In modern-day dentistry there is a wide variety of dental materials to choose from. Some crowns are made from full gold, whereas others are made from an alloy of metals fused to a porcelain outer shell.
After time, crowns that are made from a combination of metal fused to porcelain can begin to show unattractive dark gum lines. All-porcelain or ceramic crowns are the best choice for a natural cosmetic look. There are many different brands and types of porcelain crowns, and the variation between the costs usually reflects the quality of the materials used.
If your tooth has undergone significant decay and there is not enough tooth structure remaining to support a filling or an inlay and maintain functionality.
If a large portion of your tooth has fractured and it cannot be built up using traditional composite bonding techniques.
If you have a large cavity and opt for the additional protection a crown offers to your tooth over a large composite filling or an inlay.
If you have had a dental implant to replace a missing tooth, a crown will be fitted to the abutment of the titanium implant.
Following root canal treatment, a crown is often needed to strengthen the tooth.
If you grind your teeth and have a poor diet, acid erosion may reduce your teeth to a point where the only option available is a crown.
For cosmetic reasons, you may opt for all porcelain cosmetic crowns.
The price varies between dental practices, and will depend on the skill of the dentist, the quality of the crown and the materials used, and the number of teeth you are having crowned. Your Waterside dentist will be happy to discuss the cost of our various crowns.
Monday - Thursday
8:30am - 5:00pm
Friday
7:45am - 1:00pm
Saturday & Sunday
Closed
(Closed for lunch: 1:00pm -2:00pm)

I am delighted with my dentist at Waterside Dental and feel very relaxed during my visits.
Mrs. Emerald, Coleraine
Waterside Dental
7 Waterside
Coleraine
BT51 3DP
E: info@watersidedentalsurgery.com
Monday - Thursday
8:30am - 5:00pm
Friday
7:45am - 1:00pm
Closed for lunch 1:00pm to 2:00pm